УКР
Одеса, вул.Філатова, 33А/2
Пн-Пт 9:00-20:00
Сб-Нд 10:00-18:00
096 033 36 74
063 940 64 86
__
__ __
ДІАГНОСТИКА
________________________
ТЕРАПЕВТИЧНА СТОМАТОЛОГІЯ
________________________________________________________
ЕСТЕТИЧНА СТОМАТОЛОГІЯ
__________________________________________________
ОРТОПЕДІЯ
____________________
ХІРУРГІЯ ТА ІМПЛАНТАЦІЯ
____________________________________________
КОМПЛЕКСНА ГІГІЄНА ТА ВІДБІЛЮВАННЯ
__________________________________________
ПАРОДОНТОЛОГІЯ
__________________________________
ОРТОДОНТІЯ
______________________
ДИТЯЧА СТОМАТОЛОГІЯ
Лікування для дітей
_____________________________________________
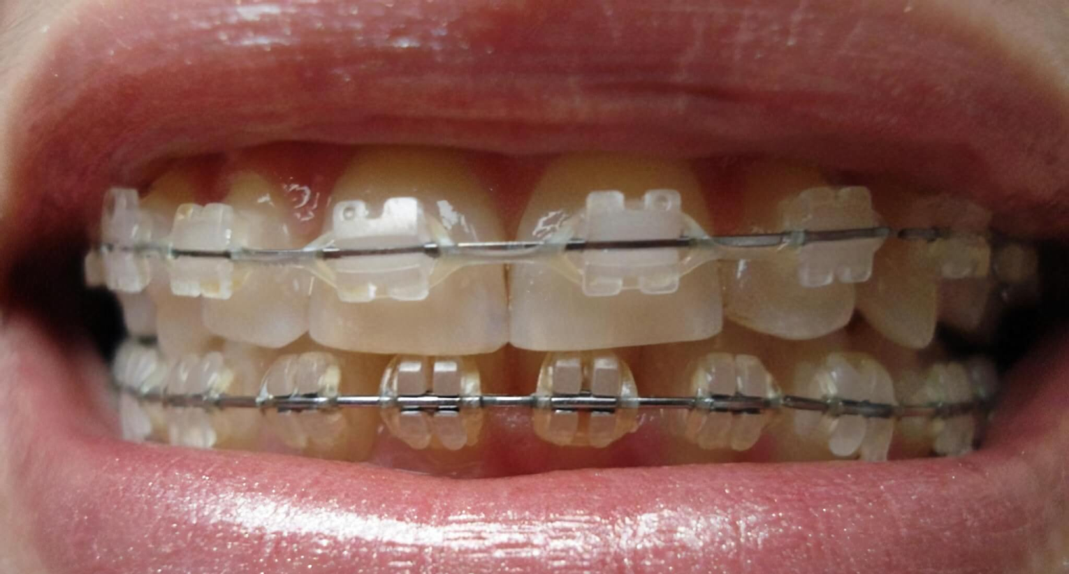
ВИПРАВЛЕННЯ ПРИКУСУ
Найчастіше виправлення прикусу в дорослих відбувається за допомогою брекет-систем.

Саме брекети мають потрібне зусилля для переміщення зубів.
________________
УСЕ ПРО ПРИКУС
З тих чи інших причин у більшості дорослих є порушення прикусу. Невиправлений у дитячому віці прикус, як правило, у дорослому віці виправляється дуже рідко.

Деякі пацієнти не знають про таку можливість. Інші не бажають носити ортодонтичні конструкції. Треті просто не бачать вагомих підстав для проведення такого лікування.
А якщо пацієнт бажає якось виділитися з натовпу, і не соромиться самого факту носіння брекетів, то йому підійдуть різнокольорові брекети, які більше схожі на прикраси.
Саме брекети мають потрібне зусилля для переміщення зубів. Сучасні брекети не лише ефективні, а й естетичні
Виправлення прикусу в дорослих це особлива тема для розмови, що вимагає розвінчання багатьох міфів і руйнування стереотипів, що склалися. Найчастіше виправлення прикусу в дорослих відбувається за допомогою брекет-систем.
За бажанням пацієнта йому можуть бути встановлені лінгвальні брекет-системи або сапфірові брекети, які малопомітні на зубах.
________________
БРЕКЕТ-СИСТЕМИ
________________
Damon-3
Damon-3 — це поєднання високотехнологічних самолігуючих брекетів пасивного типу та революційної філософії лікування доктора Дуайта Деймона.

Основною особливістю системи є дуже низьке тертя дуги в пазах брекетів і, як наслідок, можливість застосування слабких сил для переміщення зубів на всіх етапах ортодонтичного лікування.

Сили, що розвиваються при застосуванні системи Damon-3 (Деймон-3), достатні для стимуляції клітинної активності, але не порушують кровопостачання періодонту, тобто знаходяться в «біозоні» або в «зоні оптимальних сил». Використання таких сил надає величезні переваги для пацієнта.
Damon Q
Система DAMON Q — це найновіші, дуже маленькі брекети. Вони вдвічі менші за даймон 3 і виглядають як стразики. Розробка цієї брекет-системи тісно пов’язана з ім’ям професора Деймона, який є ідейним автором брекетів цієї серії. За рахунок використання дуже слабких, фізіологічних сил значно скорочує кількість візитів пацієнта до лікаря. З Damon Q пацієнт отримує задоволення і видимий результат набагато швидше, ніж при лікуванні брекет-системою Даймон 3.
Система DAMON Q — це найновіші, дуже маленькі брекети. Вони вдвічі менші за даймон 3 і виглядають як стразики. Розробка цієї брекет-системи тісно пов’язана з ім’ям професора Деймона, який є ідейним автором брекетів цієї серії.
За рахунок використання дуже слабких, фізіологічних сил значно скорочує кількість візитів пацієнта до лікаря. З Damon Q пацієнт отримує задоволення і видимий результат набагато швидше, ніж при лікуванні брекет-системою Даймон 3.
Головна перевага «Damon-Q» полягає в тому, що вони саморегулюються. Для фіксації зуба в правильному положенні більше не потрібно жорстких та агресивних елементів, які міцно закріплюють, але ушкоджують зуб. М’які тканини слизової, кістки та зуби швидко адаптуються до нового стану, не відчуваючи стресу.
  • скошений внутрішній край кришечки для легкого введення дуг;
Головна перевага «Damon-Q» полягає в тому, що вони саморегулюються. Для фіксації зуба в правильному положенні більше не потрібно жорстких та агресивних елементів, які міцно закріплюють, але ушкоджують зуб. М’які тканини слизової, кістки та зуби швидко адаптуються до нового стану, не відчуваючи стресу.

«Damon-Q» — найменші та найміцніші брекети. Вони майже не помітні при розмові та посмішці, проте ламаються і вимагають заміни набагато рідше за інші види брекетів. Крім того, Damon-Q стимулюють природну корекцію прикусу за допомогою активації м’язів обличчя.
  • направляючі для точного позиціонування брекетів;
  • другий допоміжний паз розширення клінічних можливостей.
«Damon-Q» — найменші та найміцніші брекети. Вони майже не помітні при розмові та посмішці, проте ламаються і вимагають заміни набагато рідше за інші види брекетів. Крім того, Damon-Q стимулюють природну корекцію прикусу за допомогою активації м’язів обличчя.
Damon-Q:
  • зменшений профіль та розміри брекетів;
  • оптимізована глибина паза брекетів для ретельного та точного завершення лікування;
  • інноваційний механізм закриваючої кришки SpinTek™;
Damon Сlear
Damon Clear — це нова, максимально естетична версія революційної технології Damon, що має всі переваги пасивного самолігування, але при цьому абсолютно прозора, як брекети Inspire Ice.
Брекет складається з міцного полікристалічного оксиду алюмінію (PCA), стійкого до зміни кольору та появи плям. Гладкі закруглені контури забезпечують швидку адаптацію та максимальний комфорт для пацієнта.
Основа брекету із запатентованим лазерним протруюванням забезпечує оптимальну силу зчеплення для надійної фіксації та комфортного зняття.
Інноваційний механізм відкривання та закривання кришки SpinTek забезпечує швидку та комфортну зміну дуг без ризику відклеювання брекету, що значно скорочує час візиту в лікаря. Завдяки спеціальному механізму, що утримує дугу, тертя при переміщенні зубів під час ортодонтичного лікування в сотні разів менше і з мінімальними навантаженнями, ніж при використанні традиційних брекет-систем (особливо важливе для пацієнтів із проблемами парадонту).
Переваги:
  • збільшення інтервалів відвідування лікаря до 8-10 тижнів;
  • скорочується кількість Ваших візітів до лікаря;
  • набагато рідше виникає необхідність вдаватися до видалення зубів та застосування додаткових ортодонтичних апаратів;
  • результати лікування помітні вже через 2-3 місяці;
  • лікування відбувається швидко, комфортно, дуже ефективно.
Завдяки спеціальному механізму, що утримує дугу, тертя при переміщенні зубів під час ортодонтичного лікування в сотні разів менше і з мінімальними навантаженнями, ніж при використанні традиційних брекет-систем (особливо важливе для пацієнтів із проблемами парадонту).
Інноваційний механізм відкривання та закривання кришки SpinTek забезпечує швидку та комфортну зміну дуг без ризику відклеювання брекету, що значно скорочує час візиту в лікаря.
Керамічні брекети
Технології, що застосовуються під час створення таких брекетів, аналогічні технологіям, що застосовуються під час створення зубних коронок.
Властивості та естетика кераміки давно оцінені та широко використовуються в стоматології. Брекети з кераміки прийшли слідом за металевими та стали відмінною альтернативою для тих пацієнтів, яким важливий їхній зовнішній вигляд під час лікування.
Mistique
Mystique — єдиний брекет, де паз оброблений гладкою силікатною плівкою, що створює менший опір, більш точні стінки паза й більшу естетику, ніж при металізованому пазі.

При закладеному торці та ромбоподібній формі всі сили, що діють у межах крил і в тілі брекету, врівноважуються. Крила брекетів армовані сіткою, що ще більше збільшує їхню міцність.
Сапфірові брекети
Від звичайних металевих вони відрізняються тим, що сапфірові брекети абсолютно прозорі, і таким чином вони повністю зливаються з Вашими зубами. Керамічні системи мають як деякі схожі з ними властивості, так і окремі функціональні відмінності.

Основне їхнє завдання — бути світлими на зубах та створити всі стоматологічні умови для швидкого виправлення зубів.
Inspire ICE
Найпрозоріші серед усіх естетичних брекетів, представлених на світовому ринку за рахунок особливостей матеріалу та високотехнологічного процесу термополірування. Краща, ніж будь-коли, відповідність подушки брекету поверхні зуба, що полегшує позиціонування.
Куляста структура основи — механічна основа, що складаються з найдрібніших цирконієвих сфер, забезпечує надійну фіксацію і, що найважливіше, робить процес зняття брекетів передбачуваним та безпечним. Характеристики брекетів Inspire ICE дозволяють використовувати їх у поєднанні з будь-якими брекетами техніки прямої дуги.
Куляста структура основи — механічна основа, що складаються з найдрібніших цирконієвих сфер, забезпечує надійну фіксацію і, що найважливіше, робить процес зняття брекетів передбачуваним та безпечним.
Характеристики брекетів Inspire ICE дозволяють використовувати їх у поєднанні з будь-якими брекетами техніки прямої дуги.
Ormco
Належать до групи керамічних. Є штучним монокристалом сапфіру, що відрізняє сапфірові брекети Ormco від полікристалічних керамічних брекетів інших виробників.

Монокристалічна структура дозволяє забезпечити найвищу прозорість.
ЕЛАЙНЕРИ
________________
Елайнери Invisaling
Invisalign використовує ряд невидимих ​​знімних та зручних капп. Вони справді малопомітні навіть за близького контакту. Таким чином, Ви зможете більше посміхатися як під час лікування, так і після.
Капи Інвізілайн виготовляються індивідуально за зліпками зубів пацієнта в лабораторії Align Technology, куди їх відправить ортодонт після діагностики. Система Інвізілайн підтримує 3D моделювання, за допомогою якого можна дізнатися, як зміниться ваш прикус після лікування ще на стадії його планування.
Тривалість лікування залежить від складності випадку, що визначає кількість необхідних кап. У середньому близько 12 місяців, але тільки ваш лікар може визначити тривалість лікування.
Сотні тисяч пацієнтів у всьому світі можуть пройти лікування системою Invisalign. Ця система підходить більшості людей, у яких спостерігається скупченість зубів або проміжки між зубами, а також тим, у кого відбулося зміщення зубів після носіння в дитинстві брекет-систем.
Прозорі капи легко знімаються, не вимагають складного догляду, як, наприклад, брекети. При використанні знижується ймовірність виникнення карієсу. Елайнери зручні, комфортні, не викликають алергії та подразнення порожнини рота. Однією з переваг цього методу є те, що елайнери можна зняти, якщо у вас намічається якийсь важливий захід або особлива подія, наприклад, весілля, хоча вони практично невидимі на зубах.
Капи елайнери
Капи-елайнери — сучасний спосіб виправлення прикусу без брекетів. Елайнери рекомендовані людям, які не можу собі дозволити ходити із брекетами на зубах.

Елайнери (альтернатива брекетам) настільки тонкі та прозорі, що ніхто з оточуючих не помітить, що ви почали лікування.
Лікарі
ТЕРЕЩЕНКО ОЛЕКСАНДРА ВОЛОДИМИРІВНА
Стоматолог-ортодонт
Ендодонтист


Стаж — 18 років
Детальніше Записатися
ПОВАГА ВІТАЛІЙ СЕРГІЙОВИЧ
Ортодонт




Стаж — 19 років
Детальніше Записатися
Дні та час роботи:
Пн-Пт 9:00-20:00
Сб-Нд 10:00-18:00
Стоматологія для дорослих та дітей
Одеса, Академіка Філатова, 33а/2
Приєднуйтесь до нас у соціальних мережах
Телефон
Послуги стоматологічної клініки Диндент - ви можете сплатити банківською карткою або на розрахунковий рахунок
Правова інформація
© Диндент 2020 - усі права збережені.
Використання будь-яких матеріалів сайту без узгодження заборонено.